உங்கள் பற்களில் படியும் வெண்படலம் மற்றும் கறைகளை இயற்கையாகவே அகற்றி பளிச்சென்று தோன்ற வைக்கலாம், ஆனால் எப்படி ??

பற்களில்
தோன்றும் வெண்படலம் மற்றும் கறைகளை சரியாக்கும் நோக்கில் வாயைக் கழுவுதல்
மற்றும் சிறப்பு பற்பசை போன்ற பல்வேறு வழிகளில் செல்வதற்கு முன், இந்தப்
பிரச்சனைகளிலிருந்து தீர்வு தரும் சில உணவு வகைகள் உள்ளது என்பதை இந்தக்
கட்டுரையில் அறிந்து கொள்ளுங்கள்.
பேஸ்புக்கில் எங்களது செய்திகளை உடனுக்குடன் படிக்க க்ளிக் செய்யவும்
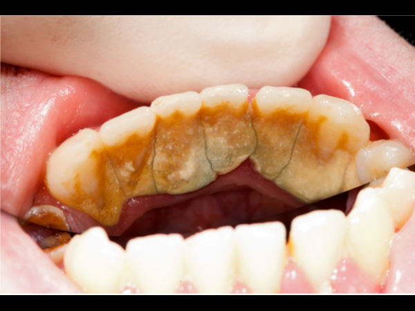
பல் கறைகள்
பல்லில்
சீமைச் சுண்ணாம்பு(டார்ட்டர்) போன்ற பொருள் படர்ந்திருக்கும். இது உங்கள்
பற்கள் மற்றும் ஈறுகளின் இடையே உணவுப்பொருள்கள் சிக்கிக் கொள்வதன்
தொடர்ச்சியாக உருவாகிறது. அது கனிம உப்புகள் மற்றும் கழிவுப்பொருள்களால்
உருவாகிறது. இதன் விளைவாக, இயற்கையில் வெண்மையான உங்கள் பற்களின்
மேற்பரப்பு மஞ்சள் புள்ளிகளுடன் தோன்ற ஆரம்பிக்கிறது.
இதை
முற்றிலும் குணமாக்க சிறந்த வழி பல் மருத்துவரை அணுகுவதேயாகும்.
இருப்பினும், சில வீட்டு வைத்தியங்களை பயன்படுத்தி இவை மேலும் வளராமல்
தடுக்கலாம். இந்த கட்டுரையை படித்து அதற்கான சிறந்த முறைகளைப் பற்றி
அறிந்துகொள்ளுங்கள். இயற்கையாகவே இந்தப் பிரச்னையை போக்குவது எப்படி?
பல்லிடுக்குகளில் சேரும் உணவுத்துகள்களை நீக்க சரியான பிரஷ்ஷுன் பயன்பாடு மிகவும் முக்கியமானது.
டூத் பிரஷ்
குறைந்தபட்சம்
மூன்று முறை தினமும் உங்கள் பற்களை (காலை, மதியம், இரவு) துலக்கும் வேலையை
நினைவில் கொள்ளுங்கள். உங்கள் பிரெஷை ஒவ்வொரு 3 மாதங்களுக்கு ஒருமுறை
மறக்காமல் மாற்றவும்.
மௌத்வாஷ்
உங்கள்
வாய்வழி சுகாதார மேம்பாட்டுக்கு பல் பிளாஸ் (பல்லிடுக்கிலுள்ள
உணவுப்பொருள்களை நீக்க உதவும் மென்மையான பொருள்) மற்றும் மௌத் வாஸ்களை
பயன்படுத்தினால் நன்றாக இருக்கும். இது பாக்டீரியா மற்றும் டார்ட்டர்
(வெண்படலம்) இரண்டிலிருந்தும் உங்கள் பற்களைக் காத்திட உதவும்.
சர்க்கரை உணவுகள்
அதே
நேரத்தில், சர்க்கரை உணவுகள் மற்றும் ஸ்டார்ச் கொண்ட உணவுகளைத் தவிர்த்தல்
நல்லது. ஏனெனில் இவை உங்கள் வாயில் வாழும் பாக்டீரியாக்கள் வளர உணவாக
மாறுகின்றன.
ஒவ்வொரு
முறையும் நீங்கள் இனிப்பு சாப்பிட்ட பின் வாயைக் கழுவாதீர்கள் ஏனெனில் இந்த
நுண்ணுயிரிகள், பற்குழிகளை ஏற்படுத்தும் ஒரு அமிலத்தை அந்நேரங்களில்
சுரக்கும் வாய்ப்புள்ளது.
பல் மருத்துவர்
உங்கள்
பல் மருத்துவரை வருடத்திற்கு குறைந்தபட்சம் இரண்டு முறை சந்தியுங்கள். இது
உங்கள் பற்களை சிறந்த முறையில் சுத்தம் செய்வதற்கும், பற்குழிகளை
குணப்படுத்துவதற்கும் உதவுகிறது.
மேலுள்ளவைகளோடு
சேர்த்து சில எளிய வீட்டு வைத்தியங்களையும் சிகிச்சையாக நீங்கள்
பயன்படுத்தலாம். உங்கள் பற்களில் தேவையில்லாமல் சேரும் உணவுத் துகள்கள்
மற்றும் எச்சங்களை நீக்கும் சில வீட்டு வைத்தியங்களைக் காணலாம்
சமையல் சோடா
பலவகை
பயன்களைக் கொண்ட இந்தப் பொருள் கண்டிப்பாக உங்கள் வீட்டில் இருக்கவேண்டிய
ஒன்றாகும். பற்களை சுத்தம் மற்றும் வெண்மைப்படுத்தும் திறன்கள் இதின்
அடிப்படை குணங்களாகும். இதன் காரணமாக பல நூற்றாண்டுகளாக இது
பயன்படுத்தப்பட்டு வருகிறது.
செய்முறை :
ஒரு
பாத்திரத்தில் சிறிதளவு சமையல் சோடாவை எடுத்துக்கொண்ட பின்னர் சிறிது
தண்ணீரால் உங்கள் டூத் பிரெஷை ஈரப்படுத்திக் கொள்ளவும். இப்பொழுது பேக்கிங்
சோடாத்தூள் பிரெஷ் முழுதும் ஒட்டும்படி செய்யவும். பிறகு எப்பொழுதும் போல
பல் துலக்குங்கள்.
குறிப்பு: இது உப்பு சுவை கொண்டது என்பதை நினைவில் வைத்து சிறிதளவே பயன்படுத்துங்கள்.
ஹைட்ரஜன் பெராக்சைடு:
இதுவும்
எந்தவொரு வீட்டிலும் இருக்க வேண்டிய பொருள்களில் ஒன்றாகும். ஏனெனில்
காயங்களை சுத்திகரித்து, உங்கள் பற்களை வெளுப்பாக்கும் வேலையை எளிதாகச்
செய்கிறது.
சம அளவிலான
ஹைட்ரஜன் பெராக்சைடு மற்றும் நீர் கலவையை எடுத்துக் கொள்ளுங்கள். பல்
துலக்கிய பிறகு உங்கள் வாயைக் கழுவ இந்தக் கலவையை பயன்படுத்துங்கள். இந்த
சிகிச்சையை வாரத்திற்கு இரண்டு அல்லது மூன்று முறை பயன்படுத்தவும். கறைகளை
நீக்கி, பாக்டீரியாவின் வளர்ச்சியைத் தடுக்கவும் உங்கள் வாயை ஆரோக்கியமாக
வைத்திருக்கவும் இது உதவுகிறது.
ஆப்பிள்கள்:
ஆப்பிளை
அதன் தோலுடன் சாப்பிடுவது ஆரோக்கியமானது. மேலும், இது உங்கள் பற்கள்
இயற்கையாகவே சுத்தமாகிட உதவுகிறது. இந்த வழியில், உங்கள் பல்லிடிக்கில்
துணுக்குகள் தங்காது. ஆரோக்கியமான ஈறுகள் மற்றும் இரத்தப்போக்கு தடுப்பு
ஆகிய நன்மைகள் உண்டாகும்.
ஆரஞ்சுப் பழங்கள் :
வைட்டமின்
சி அதாவது சிட்ரஸ் உங்கள் பற்களின் மேற்பரப்பில் வளரும் நுண்ணுயிரிகளைத்
தடுக்கிறது. ஒவ்வொரு காலையிலும் ஆரஞ்சு ஜூஸை குடிக்கலாம் அல்லது தூங்கப்
போகும் முன், உங்கள் பற்கள் மீது ஆரஞ்சுப் பழத்தின் தோலைத் தடவலாம்.
சமையல் சோடா மற்றும் அலோவேரா:
டார்ட்டர்(கறைகள்)
அகற்றுவதில் இந்த வீட்டு வைத்தியம் மிகவும் பயனுள்ளதாக இருக்கும். மேலும்,
இரவில் பற்களைத் துலக்கிய பிறகு வாரம் இரண்டு முறை வரை பயன்படுத்தலாம்.
தேவையான பொருட்கள்:
• 1 கப் தண்ணீர்
• 1/2 கப் பேக்கிங் சோடா
• அலோ வேரா ஜெல் 1 தேக்கரண்டி
• எலுமிச்சை அத்தியாவசிய எண்ணெயில் 10 துளிகள்
• காய்கறி கிளிசரின் 4 தேக்கரண்டி
செய்முறை:
• ஒரு பாத்திரத்தில் தண்ணீர் மற்றும் பேக்கிங் சோடா சேர்த்து நன்றாகக் கலந்து கொள்ளவும்.
• இதில் அலோ வேரா ஜெல் மற்றும் அத்தியாவசிய எண்ணெயைச் சேர்க்கவும்.
• இறுதியாக, கிளிசரின் சேர்க்கவும்.
• ஒரு மென்மையான பேஸ்ட் கிடைக்கும் வரை அதை குலுக்கி, பின்னர் ஒரு மூடியுள்ள கண்ணாடி பாத்திரத்தில் சேமித்து வையுங்கள்.
உங்கள் பற்களைத் துலக்குவதற்கு இதை பற்பசையைப் போல பயன்படுத்துங்கள்.
எள் விதைகள்:
எள் விதைகளின் வடிவம், உணவுத் துணுக்குகளை நீக்கி உங்கள் பற்களைப் பிரகாசிக்கச் செய்கின்றன.
• இது மிகவும் எளிதானது. எள் விதைகளை சிறிது நேரம் விழுங்காமல் மென்றுகொண்டே இருங்கள்.
•
பிறகு பிரஷை எடுத்து துலக்க ஆரம்பியுங்கள். மெல்லப்பட்ட எள் விதைகள்
மற்றும் உங்களின் உமிழ்நீர் கொண்டு உருவாகியுள்ள பசையைப் பற்பசையாக
பயன்படுதூங்கள்.
• சூடான நீரில் வாயை நன்கு கொப்பளித்துக் கழுவவும்.
ஸ்ட்ராபெர்ரிகள் மற்றும் தக்காளி:
இந்த
இரண்டுமே வைட்டமின் சி நிறைந்தவை. இவற்றை பற்கள் மீது தேய்ப்பதால் பிளாக்
(plaque) போவதல்லாமல் பற்களை வெண்மையாக்கும் வேலையையும் செவ்வனே
செய்கின்றன. தேய்த்த பின் கழுவுவதற்கு முன் சில நிமிடங்கள் அப்படியே
விடவும்.
டார்ட்டர் (கறைகள்) எதிர்ப்பு பற்பசை:
இயற்கையான
இந்த வீட்டுப் பற்பசைக்கு நன்றிகள். பற்பசை செய்ய நிறுவனங்கள்
பயன்படுத்தும் இரசாயனங்களிலிருந்து உங்கள் பற்களைக் காத்துக் கொள்ளலாம்.
மேலும், இயற்கைப் பொருட்களின் உதவியோடு கறைகளை நீக்கி ஆரோக்கியமான பற்களைப்
பெறலாம்.
தேவையான பொருட்கள்:
• தேங்காய் எண்ணெய் 1/2 கப்
• சமையல் சோடா 3 தேக்கரண்டி
• 2 தேக்கரண்டி ஸ்டெவியாத்(Stevia) தூள்
• அத்தியாவசிய எண்ணெய் 20 சொட்டு (உங்கள் விருப்பப்படி)
செய்முறை:
• ஒரு பாத்திரத்தில் தேங்காய் எண்ணெய், பேக்கிங் சோடா, மற்றும் ஸ்டீவியா ஆகியவற்றை எடுத்துக்கொள்ளவும்.
•
அதை நன்கு கலந்து பிறகு, நீங்கள் தேர்வு செய்த அத்தியாவசிய எண்ணெயைச்
(உதாரணமாக, அது எலுமிச்சை, புதினா அல்லது லாவெண்டர்)சேர்க்கவும்.
• ஒரு மென்மையான பேஸ்ட் கிடைக்கும் வரை நன்கு கலந்து பிறகு கண்ணாடி ஜாரில் இந்தப் பேஸ்டை சேமித்து வைக்கவும்.
• நீங்கள் வழக்கமான பற்பசைக்குப் பதிலாக ஒவ்வொரு நாளும் இதைப் பயன்படுத்தலாம்.
கேரட் மற்றும் செலரி:
பச்சைக்
காய்கறிகள் உங்கள் பல் ஆரோக்கியத்தைப் பாதுகாக்கின்றன. ஏனென்றால் அவைகளை
எடுத்துக்கொள்ளும்போது உங்கள் உமிழ்நீர் உற்பத்தி அதிகரித்து உங்கள் பற்கள்
வலுவடைகின்றன.
• உங்கள் பசியைத் திருப்திப்படுத்தும் ஒன்றை (செலரி அல்லது கேரட்) உணவு இடைவேளைகளுக்கிடையில் சிற்றுண்டிபோல எடுத்துக்கொள்ளுங்கள்.
பாதாம்:
கொட்டைகளை
முழுதாக சாப்பிட்டால் அவைகள் உங்களுக்கு இவ்விஷயத்தில் உதவலாம். இவற்றை
உண்ணும் போது உங்கள் பற்களுக்கு எதிராகத் தோன்றும் உராய்வு காரணமாக இது
சத்தியம். இது உங்கள் பற்களின் கறைகள் மற்றும் பல்லிடுக்களில் சேரும்
உணவுத்துணுக்குகளை சிறிது சிறிதாக நீக்குகிறது.
• உங்கள் பற்கள் மற்றும் ஈறுகளில் சிக்கியிருக்கும் எந்த எச்சமும் நீங்க ஒரு நாளுக்கு ஒரு கைப்பிடி பாதாம் கொட்டைகள் போதுமானது.















கருத்துகள் இல்லை:
கருத்துரையிடுக